Con el propósito principal de ampliar los servicios de salud que recibe la comunidad universitaria, el presidente de la Universidad de Puerto Rico (UPR), Uroyoán R. Walker Ramos, anunció en conferencia de prensa una histórica alianza de salud mediante la cual el Recinto de Ciencias Médicas (RCM) establece clínicas en la Universidad de Puerto Rico…
The Minority Medical Student Award Program (MMSAP) is an 8- to 12-week research experience for students from the United States and Canada in their early years of medical school. As part of this experience, students collaborate with an ASH member who serves as their research mentor. Program participants are also paired with an ASH member…
The Partnership Summer Research Program offers college and medical trainees from the University of Puerto Rico System an opportunity to explore biomedical research as it relates to cancer, to gain firsthand experiences and mentorship in basic, clinical or translational research alongside world-renowned faculty, as well as to attend targeted institutional lectures and seminars. Some of the…
El médico boricua viaja alrededor del mundo para atender a niños con condiciones cardíacas en países subdesarrollados. Mientras muchos realizan los preparativos para disfrutar sus vacaciones, el doctor Enrique Carrión se prepara para atender a niños con condiciones congénitas cardíacas en países subdesarrollados. “Los defectos congénitos del corazón son el asesino número uno entre todos…
Del 8 al 22 de noviembre el Dr. Enrique Carrión, uno de nuestros cardiólogos pediátricos y la Dra. Natasha González, residente de segundo año del Departamento de Pediatría, participaron de la Brigada Cardiovascular Pediátrica en Honduras, una actividad organizada por Fundación Manos Ayudando a Honduras. Durante las 2 semanas se operaron 17 niños y se…
Buscan gemelos para investigación UN EQUIPO de investigadores de Puerto Rico busca entender cómo la genética y el ambiente se relacionan con la alta incidencia de asma en la Isla, se informó ayer en un comunicado de prensa. Para conducir la investigación, el Recinto de Ciencias Médicas (RCM) de la Universidad de Puerto Rico hace…
Mujeres apoyan la causa de Movember para orientar sobre la salud masculina NO NECESARIAMENTE hay que ser hombre para crear conciencia sobre su salud y formar parte del movimiento mundial Movember. Siendo una Mo Sista puedes apoyar la iniciativa internacional que desde el 2003 busca fomentar la preocupación por la salud de los varones. Con…
El hallazgo promete ser una importante herramienta para inhibir la metástasis. El Recinto de Ciencias Médicas (RCM) de la Universidad de Puerto Rico (UPR) anunció hoy que su Escuela de Farmacia logró patentar un compuesto desarrollado por sus investigadores para combatir el cáncer de seno y la metástasis de este a otros órganos. El equipo…
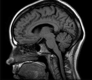
Recinto de Ciencias Médicas estrena la instalación, que es la más avanzada en el Caribe y Latinoamérica Con una inversión de $4 millones, la Clínica de la Escuela de Medicina del recinto de Ciencias Médicas (RCM) estrenará su nuevo Centro de Imágenes, que cuenta con equipos de resonancia magnética (MRI) y tomografía computarizada (CT Scan), únicos…
El RCM tiene vigente la Licencia de Renovación de la Junta de Instituciones Postsecundarias y está acreditado por la MSCHE (Middle States Commission on Higher Education). Además, no discrimina por raza, religión, sexo, nacionalidad, edad, origen o condición social o económica, impedimento físico o mental, ni afiliación política. The Medical Sciences Campus holds a Postsecondary Institutions Board Renewal License and is accredited by the MSCHE (Middle States Commission on Higher Education).In addition, it does not discriminate based on race, religion, sex, nationality, age, origin or social or economic condition, physical or mental disability, or political affiliation.