Del 8 al 22 de noviembre el Dr. Enrique Carrión, uno de nuestros cardiólogos pediátricos y la Dra. Natasha González, residente de segundo año del Departamento de Pediatría, participaron de la Brigada Cardiovascular Pediátrica en Honduras, una actividad organizada por Fundación Manos Ayudando a Honduras. Durante las 2 semanas se operaron 17 niños y se…
Buscan gemelos para investigación UN EQUIPO de investigadores de Puerto Rico busca entender cómo la genética y el ambiente se relacionan con la alta incidencia de asma en la Isla, se informó ayer en un comunicado de prensa. Para conducir la investigación, el Recinto de Ciencias Médicas (RCM) de la Universidad de Puerto Rico hace…
Mujeres apoyan la causa de Movember para orientar sobre la salud masculina NO NECESARIAMENTE hay que ser hombre para crear conciencia sobre su salud y formar parte del movimiento mundial Movember. Siendo una Mo Sista puedes apoyar la iniciativa internacional que desde el 2003 busca fomentar la preocupación por la salud de los varones. Con…
El hallazgo promete ser una importante herramienta para inhibir la metástasis. El Recinto de Ciencias Médicas (RCM) de la Universidad de Puerto Rico (UPR) anunció hoy que su Escuela de Farmacia logró patentar un compuesto desarrollado por sus investigadores para combatir el cáncer de seno y la metástasis de este a otros órganos. El equipo…
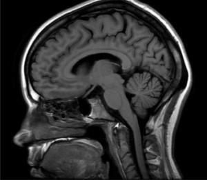
Recinto de Ciencias Médicas estrena la instalación, que es la más avanzada en el Caribe y Latinoamérica Con una inversión de $4 millones, la Clínica de la Escuela de Medicina del recinto de Ciencias Médicas (RCM) estrenará su nuevo Centro de Imágenes, que cuenta con equipos de resonancia magnética (MRI) y tomografía computarizada (CT Scan), únicos…
A TODA LA COMUNIDAD ACADÉMICA DE LA ESCUELA DE MEDICINA: Queremos felicitar al Dr. Gregory Quirk, del Departamento de Psiquiatría por el logro de haber sido seleccionado en la más reciente publicación “The Worlds Most Influential Scientific Minds 2014”. La Escuela de Medicina se enorgullece de tener representación de la facultad a nivel mundial. !Enhorabuena!
La identificación temprana de deficiencias en el desarrollo de los niños podría aminorar las dificultades de los menores durante su vida escolar, pero la práctica de muchos padres es acudir al pediatra únicamente para la administración de vacunas o para tratar una enfermedad, según indicó hoy, martes, la neuróloga pediátrica Marisel Vázquez Correa, en vista…
Expanding National Capacity in PCOR through Training (ENACT) Program The ENACT Program is now taking applications for its online course entitled Fundamentals of Patient Centered Comparative Effectiveness Research (PC-CER), beginning January 15, 2015. The goal of this training is to deliver innovative online modules on Patient Centered Outcomes Research (PCOR) methods to NIH-funded Research Centers…
Accelerating Learning. Fostering Connections November 6–7, 2014 Swissôtel Hotel, Chicago Professionals from across the medical education continuum are invited to attend the inaugural AAMC Medical Education Meeting, Nov. 6–7 in Chicago. Through this national scholarly forum, educators, thought leaders, students, and others from across disciplines within medical education will gather to learn about the latest…
El RCM tiene vigente la Licencia de Renovación de la Junta de Instituciones Postsecundarias y está acreditado por la MSCHE (Middle States Commission on Higher Education). Además, no discrimina por raza, religión, sexo, nacionalidad, edad, origen o condición social o económica, impedimento físico o mental, ni afiliación política.
The Medical Sciences Campus holds a Postsecondary Institutions Board Renewal License and is accredited by the MSCHE (Middle States Commission on Higher Education).In addition, it does not discriminate based on race, religion, sex, nationality, age, origin or social or economic condition, physical or mental disability, or political affiliation.